
Implantologie in 7 zile!
In interval de 1 saptamana puteti trece de la stadiul de edentat la stadiul de protezat prin implant dentar, in aceasta perioada vi se ofera si o lucrare protetica provizorie (aceasta este GRATIS) pana la efectuarea lucrarii definitive peste 7 zile.
Ce este un implant dentar?
Arata si este resimtit ca un dinte natural.
IMPLANTURI DENTARE EFECTUATE DE CATRE DR. PURGHEL TEODOR
Edentatie totala
mandibulara
implanturi imediat
postoperator
Aplicarea lucrarii de
portelan la 7 zile
Un implant dentar este o radacina dentara artificiala care inlocuieste radacina oricarui dinte lipsa. Arata similar unui surub obisnuit si e construit din aliaj de titaniu, un material perfect biocompatibil.
In timp, celulele osoase se aduna in jurul implanturilor, ducand la sudarea acestora de os. Implanturile dentare sunt folosite pentru a inlocui unul sau mai multi dinti lipsa.
Ele se insera printr-o interventie chirurgicala in os (maxilar/mandibula) pentru a crea o baza pe care va fi construita o lucrare protetica (noul dinte). Medicul stomatolog foloseste implanturile pentru a construi coronite/lucrari identice ca aspect dintilor naturali.
Implantul dentar - Solutia perfecta!
Spre deosebire de lucrarile protetice fixe (cimentate) sau proteze, utilizate in trecut ca si solutie pentru lipsa dintilor, implanturile dentare nu sunt mobile si nu afecteaza dintii sanatosi. Dupa studiile stiintifice publicate in ultimii ani, 85% din persoanele tratate prin vechile metode (proteze sau coronite si punti realizate dupa practicile clasice) simt oarecare disconfort impreuna cu o multime de neplaceri in fiecare zi.
Implantul dentar - Rezolvarea ideala!
Implantul este pozitionat in os si nu se sprijina pe dintii alaturati. Fortele implicate in procesul de mestecare ajung pana la 80 kg forta pe centimetru patrat. Solutia prin implant permite realizarea procesului de mestecare in mod natural. Sistemul este proiectat sa reziste fortelor in asa fel incat sa nu creeze in timp un handicap. Usureaza exprimarea corecta, stabilitatea fonetica, lucru impiedicat in multe cazuri de catre proteze de cele mai multe ori datorita mobilitatii lor. Indicat pentru orice varsta. Nu produce carii secundare.
Avantaje vs Riscuri
Implanturile sunt pozitionate in os in cursul unei interventii chirurgicale in cabinetul stomatologic sub anestezie locala, fiind un procedeu relativ facil. Studiile realizate indica o rata de succes de 95%, implanturile fiind analizate statistic pe o perioada lunga. Cazurile de insucces, cele 5%, se datoreaza aproape in totalitate cauzelor externe operatiei in sine, cum ar fi: o boala generala a pacientului ce poate reprezenta o contraindicatie la operatia in sine, lipsa de colaborare, consumul de droguri, fumatul, alcoolismul cronic, igiena orala precara si probleme legate de calitatea si duritatea osului.
Rezolvarea unei edentatii unidentare - Lipsa unui singur dinte
In cazul lipsei unui singur dinte de pe arcada, implantul dentar e solutia ideala pentru ca in acest fel dintii alaturati raman neatinsi, fara sa ii slefuim sau tratam. Este recomandat a nu se neglija lipsa unui singur dinte si a se prezenta la medicul stomatolog curant cat mai repede pentru a fi tratat prin implant. Lipsa unei rezolvari pe termen lung duce la migrarea dintilor alaturati, o muscatura anormala si, in ani de zile, probleme in articulatiile maxilare. Un alt aspect este resorbtia osului in zona netratata si fara dinti, lucru ce afecteaza implantarea celorlalti dinti.
Edentatii multidentare - Lipsa mai multor dinti
Protezele partial angrenate pe dinti se mobilizeaza in timp, mobilizand si dintii alaturati, iar protezele totale sunt rareori perfect stabile, necesitand deseori folosirea de adezivi. Aceste probleme pot fi evitate folosind implanturile pentru aplicarea lucrarilor protetice de toate felurile. O indicatie foarte importanta este in cazul bolilor parodontare; Aceste boli afecteaza sistemul natural de fixare al dintelui in os (maxilar/mandibula) si in timp duc la desprinderea efectiva a radacinii -dintelui de os. I aceste cazuri se recomanda extractia dintilor afectati si realizarea de implanturi ce stabilizeaza nivelul osos si impiedica resorbtia sa si deci evolutia "parodontozei".
Edentatii totale - Lipsa tuturor dintilor
Si in aceste cazuri solutia optima e realizarea de implanturi, ce reprezinta baza de fixare pentru coronite/cimentate sau proteze cu cape.Diferenta consta in numarul de implanturi necesar, in timp ce pentru lucrari fixe sunt obligatorii un numar maxim de implanturi (6 pana la 8-10) pentru proteze sunt suficiente 2-4.Acestea permit angrenarea protezei prin cape si deci o estetica si functii impecabile, incepand cu vorbitul, masticatia, mimica faciala si in acest mod imbunatatesc considerabil calitatea vietii.
Oare Implantul dentar mi se potriveste?
Sute de mii de pacienti din intreaga lume sunt tratati cu succes prin implanturi AB Dental care intrunesc cele mai prestigioase avize de calitate medicala.CE in Europa si FDA in SUA. Sistemul de implanturi AB Dental ofera o multitudine de rezolvari oricarei situatii si va reda surasul, odata cu recastigarea increderii in sine. Consultati-va cu medicul dentist, daca implanturile va pot ajuta si pe dumneavoastra!
Cum "functioneaza" implantul? Etape.
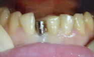
IMPLANTURI DENTARE EFECTUATE DE CATRE DR. PURGHEL TEODOR
Inainte de interventie
Control radiologic implant
Implantul postoperator
Rezultat final
Diagnosticul - In timpul examenului clinic, medicul stomatolog verifica structura, conformatia osului, sistemul vascular si cel nervos, evidentiind eventualele neregularitati. Pe baza acestuia, impreuna cu examenul radiologie, medicul alege implantul optim si decide lungimea, diametrul si pozitionarea sa in osul maxilar/mandibular.
Interventia chirurgicala - Implantul este inserat in osul maxilar sau mandibuiar sub anestezie locala, in conditii de sterilitate absoluta. Interventia poate dura mai putin de o ora.